1. 什麼是智齒?
智齒,學名為第三大臼齒,位於口腔最深處的上下顎最後方,是人類口腔中最後長出的牙齒。在古代,智齒可能有助於原始人的飲食習慣,例如咀嚼粗糙或未經加工的食物,但隨著人類飲食和生活習慣的改變,現代人的下顎空間往往不足以容納這些額外的牙齒。
智齒通常在人的青少年末期至二十多歲期間開始萌發,但也有個體差異,有的人終生智齒不萌出,而有的人則可能在四十歲後才出現。智齒的萌發過程可能順利無阻,也可能因為空間不足而導致「阻生」或「埋伏」,這時智齒只能部分露出或完全無法露出牙齦表面,進而引起一系列問題,包括:
- 疼痛與腫脹:當智齒試圖突破牙齦而出現時,可能會引起局部的不適或疼痛感。
- 感染:部分露出的智齒容易形成清潔死角,食物殘渣和細菌易在此積聚,進而引發感染。
- 鄰近牙齒移位:智齒的壓力可能影響到周圍的牙齒,造成其他牙齒位置的偏移。
- 囊腫或腫瘤:極少數情況下,智齒周圍的組織可能形成囊腫或腫瘤,進一步影響口腔健康。
基於上述原因,當智齒的萌發對口腔健康構成威脅時,牙科醫生可能會建議進行拔除手術。拔牙前,醫生會進行全面評估,包括X光檢查,以確定智齒的位置和狀態,並根據具體情況決定最適合的治療方案。智齒拔除是一種常見的手術,技術成熟,風險相對較低,但術後仍需注意口腔衛生,遵循醫生的護理指導,以促進愈合並避免感染

2. 智齒在哪個年齡段長出?
智齒通常在青少年後期至成年早期長出,大約在17至25歲之間。這段時間被認為是智齒的主要萌出時期,因為此時大多數人的顎骨已經發育完全,並且其他恒牙已經佔據了大部分的口腔空間。
然而,智齒的萌出時間因人而異,有些人可能會更早或更晚才長出智齒。甚至有些人終其一生都不會長出智齒。此外,智齒的萌出也可能不完全,部分智齒可能僅露出一部分,而另外一部分則被牙肉或骨頭覆蓋,這種情況稱為「部分萌出」。
智齒的萌出過程可能會伴隨一些不適或疼痛,尤其是在空間不足或智齒萌出方向不正確的情況下。為了確保口腔健康,建議定期進行牙科檢查,及早發現並處理可能的智齒問題。牙醫會透過臨床檢查及X光片來評估智齒的生長狀況,並根據需要給予適當的治療建議。
3. 為什麼叫智齒?
智齒之所以被稱為「智齒」,源於其通常在個體接近成年時期長出,這一時期被認為是人類智慧和判斷力逐漸成熟的階段。具體來說,智齒通常在17至25歲之間萌出,而這個年齡段正是個體心智發展和成熟的重要階段。因此,人們將這些晚萌出的牙齒稱為「智慧之齒」,簡稱「智齒」。
這個名稱在不同語言中都有相似的表達,例如:
- 在英文中,智齒被稱為「wisdom teeth」。
- 在德文中,智齒被稱為「Weisheitszähne」。
- 在法文中,智齒被稱為「dents de sagesse」。
這些名稱均反映了智齒與智慧成長的關聯。
然而,儘管智齒的名稱具有積極的含義,實際上智齒的萌出往往伴隨著各種口腔問題。由於現代人的顎骨結構較小,智齒往往沒有足夠的空間正常萌出,這可能導致智齒阻生、牙齦炎、齲齒甚至引發鄰近牙齒的排列問題。因此,牙科醫生通常會建議在適當的時機拔除智齒,以避免潛在的口腔健康問題。
總之,「智齒」這一名稱反映了其萌出時間與個體心智成熟的階段相吻合,但實際的口腔健康管理中,智齒的處理需要根據具體情況謹慎決策。

4. 智齒是每個人都有嗎?
智齒並不是每個人都會長出。雖然大多數人會在其口腔中有四顆智齒(每個顎弓兩顆),但根據個體差異,有些人可能只長出一部分甚至完全沒有智齒:
- 遺傳因素:遺傳在智齒的數量和生長方面起著重要作用。如果父母或祖父母中有缺失智齒的情況,後代也可能會缺失部分或全部智齒。
- 人類進化:隨著人類進化,現代人的顎骨結構逐漸變小,這使得智齒的生長空間減少,導致智齒缺失或萌出困難。
- 飲食習慣:古代人類的飲食需要更多的咀嚼運動,因此顎骨較大,能容納更多牙齒。然而,現代人的飲食較為精細,顎骨的發展需求減少,這也間接導致智齒數量的減少。
- 牙齒萌出過程:有些人的智齒可能會在牙齦下完全埋藏,這種情況稱為埋伏智齒(impacted wisdom teeth),這些智齒可能終生不會露出。
- 口腔健康和牙齒保健:定期的口腔檢查和牙齒保健能及早發現智齒的問題,如果智齒在萌出過程中引發健康問題,牙醫可能會建議提前拔除。
- 數量變化:一個人可能有0至4顆智齒,數量不定,且每顆智齒的萌發時間也可能不同。
總的來說,智齒的存在和數量因人而異,不是每個人都會擁有智齒。即使長出智齒,其生長狀況也可能存在很大差異。因此,定期的牙科檢查是確保口腔健康的關鍵,可以及時發現並處理可能的智齒問題。

5. 智齒通常會有幾顆?
通常預期每個人會有四顆,分別位於上下顎的兩側,每一側各有一顆。這四顆智齒各自獨立,位於口腔的最深處,也就是第二磨牙的後方。
然而,智齒的數量和存在狀況在個體之間存在顯著的變異。以下是一些關於智齒數量的常見情況:
- 四顆智齒:這是典型的智齒配置,也是大多數人的狀況。
- 少於四顆:許多人可能只長出一到三顆智齒,這取決於個體的遺傳因素和口腔結構。
- 完全缺乏智齒:一些人可能完全沒有智齒,這同樣是正常的變異,由遺傳決定了智齒的缺失。
- 多於四顆智齒:雖然較為罕見,但個體確實可能擁有超過四顆智齒的情況,這些額外的牙齒被稱為超數牙。
智齒的萌發和存在,以及它們的數量,受到多種因素的影響,包括遺傳、進化因素以及個體的下顎骨大小和形狀。在現代社會,由於飲食的改變和下顎骨的縮小趨勢,智齒有時會面臨空間不足的問題,導致阻生或傾斜萌發,這可能會引起疼痛、感染或其他口腔健康問題,有時需要通過牙科手術進行處理。因此,定期的牙科檢查對於評估智齒的狀態和預防相關問題至關重要。

6. 智齒是否會影響其他牙齒?
智齒可能會影響其他牙齒,特別是在智齒生長空間不足或方向異常的情況下:
- 牙齒擠壓和排列不齊:當口腔空間不足時,智齒的萌出可能會擠壓鄰近的牙齒,導致牙齒排列不齊,甚至引發牙齒重疊。這種情況特別常見於下顎前牙區域,會影響咬合功能和美觀。
- 牙齒移位:智齒的生長方向異常,例如向前傾斜或橫向生長,可能會推動鄰近的第二大臼齒,導致牙齒移位,進而影響整個牙弓的結構。
- 齲齒和牙周疾病:智齒位置偏後且不易清潔,容易積聚食物殘渣和細菌,增加齲齒和牙周疾病的風險。這些問題不僅會影響智齒本身,還可能蔓延到鄰近的牙齒,造成更廣泛的口腔健康問題。
- 牙齦炎和感染:部分萌出的智齒(部分露出牙齦,部分仍埋在牙肉下)容易引起牙齦炎,甚至導致牙齦周圍的感染。這種感染如果不及時處理,可能擴散至其他牙齒和口腔組織,造成更嚴重的問題。
- 囊腫和腫瘤:阻生智齒周圍可能形成囊腫,如果不及時治療,囊腫會逐漸增大,破壞鄰近的牙齒和骨組織。在極少數情況下,這些囊腫可能會惡化為腫瘤。
- 清潔困難:由於智齒的位置通常較深,加上可能的阻生或傾斜,清潔智齒及其周圍區域往往比清潔其他牙齒更加困難。這可能導致食物殘渣和菌斑積聚,增加齲齒和牙周疾病的風險,不僅影響智齒自身,也可能擴散影響到鄰近的牙齒。
- 咬合問題:若智齒未能正常萌發,或者沒有對應的對咬牙,可能導致咬合不平衡,影響整個咬合系統,長期下來可能導致頭痛、顎關節症狀或牙齒磨損等問題。
總結來說,智齒的生長和萌出情況可能對其他牙齒和整體口腔健康產生多種影響。為了預防和處理可能的智齒問題,建議定期進行牙科檢查,及早發現並處理智齒帶來的潛在問題。牙醫會根據智齒的生長狀況和口腔健康狀態,提供適當的治療建議,如拔除智齒或其他保守治療措施。

7. 智齒引起疼痛的原因是什麼?
智齒引起疼痛的原因有多種:
- 智齒萌出不全:當智齒無法完全從牙齦中萌出時,部分牙齒可能被牙齦或骨頭覆蓋,形成「部分萌出」。這種情況下,牙齒周圍的牙齦容易受到食物殘渣和細菌的刺激,引發疼痛和炎症。
- 智齒阻生:智齒阻生是指智齒在萌出過程中受到其他牙齒或骨頭的阻擋,無法正常生長。這種情況下,智齒可能會以不正常的角度生長,如向前傾斜或水平生長,導致疼痛和壓迫感。
- 牙齦炎:智齒位置靠後,不易清潔,容易積聚食物殘渣和細菌,這會導致牙齦發炎,即「牙齦炎」。牙齦炎會引起牙齦紅腫、疼痛,有時還會伴隨出血。
- 齲齒:智齒的位置難以清潔,使得智齒特別容易發生齲齒。齲齒引起的疼痛可能是由於牙齒本身的蛀洞,或是蛀洞進一步侵蝕牙髓,導致牙髓炎。
- 智齒周圍的感染:智齒萌出或阻生過程中,牙齦組織可能受到細菌感染,形成膿腫或感染,這會引起劇烈的疼痛和腫脹,有時還會擴散到臉部和頸部。
- 鄰近牙齒受影響:智齒的萌出方向異常或空間不足,可能會壓迫鄰近的第二大臼齒,導致這些牙齒也出現疼痛和不適。
- 囊腫形成:在智齒周圍,有時會形成含有液體的囊腫。這些囊腫會逐漸增大,壓迫鄰近的牙齒和骨組織,導致疼痛和不適。
- 智齒冠周炎:這是智齒疼痛最常見的原因之一。當智齒萌發空間不足,無法完全露出時,牙齦與智齒之間會形成一個「盲袋」,易於食物殘渣和細菌積聚,進而導致感染和炎症,稱為智齒冠周炎。這種情況下,患者會感受到牙齦紅腫、疼痛,有時會伴有口臭和吞嚥困難。
- 牙根尖周炎:如果齲齒未得到治療,感染可能會延伸到牙齒的根尖周圍組織,引發根尖周炎,這將導致更嚴重的疼痛,並且可能伴隨臉頰腫脹和咬合時的疼痛。
- 食物嵌塞:智齒與鄰近牙齒之間的縫隙容易卡住食物,長期下來會造成齲齒或牙周問題,進一步引發疼痛。
- 咬合問題:智齒的不正確萌發位置或方向可能影響咬合平衡,導致咬合時的疼痛或顎關節症狀。
- 身體抵抗力下降:當身體免疫力降低時,智齒周圍的細菌活動可能會活躍起來,進而加劇已有的炎症反應,加重疼痛。
總結來說,智齒引起疼痛的原因主要是由於其萌出過程中的異常、位置靠後導致清潔困難,以及由此引發的炎症和感染。為了緩解疼痛並預防智齒帶來的其他口腔問題,建議及早就診牙醫,進行專業的檢查和治療。牙醫會根據具體情況,採取適當的處理措施,如清潔、消炎或拔除智齒。
8. 智齒一定要拔除嗎?
智齒並非一定要拔除,是否需要拔除取決於智齒的生長情況和對口腔健康的影響:
- 位置和生長方向:
- 正常萌出且不影響其他牙齒:如果智齒位置正常,生長方向正確,且不影響鄰近牙齒的排列和功能,則通常不需要拔除。
- 異常萌出或阻生:如果智齒以不正常的角度生長(例如水平生長或向前傾斜),或者因空間不足而阻生,則可能需要拔除以避免對鄰近牙齒的壓迫和損害。
- 口腔健康狀況:
- 良好清潔且無病變:如果智齒能夠良好清潔且沒有齲齒、牙周炎等病變,則可以保留智齒。
- 難以清潔且易感染:智齒位置靠後,往往難以徹底清潔,容易積聚食物殘渣和細菌,導致牙齦炎、齲齒等問題。在這種情況下,為了預防口腔疾病,建議拔除智齒。
- 症狀和疼痛:
- 無症狀且無不適:如果智齒沒有引起疼痛或其他不適症狀,且不影響日常生活,則可以考慮暫時不拔除,定期觀察即可。
- 有症狀且引發疼痛:如果智齒引起反覆疼痛、牙齦腫脹或其他不適症狀,建議儘早拔除以緩解症狀並預防進一步的健康問題。
- 醫生的專業建議:每個人的口腔狀況不同,拔除智齒的決策應基於專業牙醫的檢查和建議。牙醫會通過臨床檢查和X光片來評估智齒的生長情況,並根據個人健康狀況給出最佳處理方案。
總結來說,智齒是否需要拔除應根據其生長情況、對口腔健康的影響以及專業牙醫的建議來決定。定期進行牙科檢查能夠及早發現智齒問題,並在必要時進行適當的處理。

9. 智齒拔除的常見原因有哪些?
- 位置不良或異常生長:
- 阻生:智齒由於口腔空間不足或其他牙齒的阻擋,無法正常萌出,這時可能需要拔除。
- 歪斜或橫向生長:智齒可能以不正常的角度生長,如向前傾斜、橫向生長等,這樣的生長方式可能會影響到鄰近牙齒的排列和功能,因此需要拔除以避免牙齒移位或其他問題。
- 牙齒疾病或健康問題:
- 牙齦炎和牙齦囊腫:智齒周圍容易積聚食物殘渣和細菌,這可能導致牙齦炎或牙齦周圍形成囊腫。如果牙齦炎或囊腫無法通過其他治療方法控制,則可能需要拔除智齒。
- 齲齒:智齒由於位置偏後且不易清潔,容易形成齲齒。如果齲齒嚴重影響了牙齒的健康,如侵蝕到牙髓造成感染,則可能需要拔除智齒。
- 預防性拔除:
- 預防其他問題:即使智齒目前沒有引起症狀或問題,但基於預防性考慮,某些牙醫可能建議拔除智齒,以避免未來可能帶來的健康問題。
- 牙齒排列和咬合問題:
- 牙齒擠壓和排列不齊:智齒萌出時可能會擠壓鄰近的牙齒,導致牙齒排列不齊或牙齒重疊,這可能影響口腔美觀和咬合功能,因此需要拔除以解決這些問題。
- 手術或其他牙科治療的需要:
- 其他手術需要:有時候,拔除智齒是為了進行其他牙科手術或治療的先決條件,如正畸治療或口腔手術。
總結來說,智齒拔除的原因多樣化,取決於智齒本身的生長情況、對口腔健康的影響以及個人的口腔狀況和需求。牙醫會根據每個人的具體情況,提供最適合的治療建議和方案。
10. 拔智齒的最佳年齡是什麼時候?
拔智齒的最佳年齡是一個常見的問詢主題,而這個問題的答案並不是非常固定,因為它依賴於個別的口腔健康狀況。然而,根據多數牙醫和專家的建議,有一個公認的年齡範圍,其中拔智齒較為合適:
- 成人牙齡(18 歲以上):智齒通常在青少年後期至成人早期開始萌出,一般建議在智齒完全形成後考慮拔除。這樣有助於牙醫更準確地評估智齒的位置、形狀和對口腔健康的潛在影響。
- 拔牙理由:如果智齒生長異常、阻生或對周圍牙齒造成壓力或影響,可能需要在年輕成年人時拔除,以防止後續的牙齒排列問題和其他口腔健康問題的發生。
- 牙科專業建議:牙醫會根據每個人的具體情況,如智齒的生長狀況、口腔健康狀態以及可能的風險和益處,來建議最適合的拔除時機。
- 18~30歲:這個年齡段被一些來源視為拔智齒的理想時期,因為大多數智齒在18歲左右開始萌發,而30歲之前拔除可以減少隨著年齡增長而增加的醫療風險,如創口愈合速度減緩和可能的併發症。
總結來說,智齒的最佳拔除年齡並無固定的標準,而是需根據個人的口腔情況和專業建議來決定。重要的是在牙齒形成完全後,通過定期的口腔檢查和牙科專業指導,來確定是否需要拔除智齒以及最適合的時機。
11. 智齒拔除後的恢復期是多久?
智齒拔除後的恢復期因人而異,一般來說,大致的恢復時間和過程如下:
- 初期恢復(幾天至一周):
- 在拔除智齒後的頭24小時,創口會形成血凝塊,這是癒合過程的第一步。
- 大約在3-4天後,牙齦上皮細胞開始從周邊向創口生長,覆蓋血凝塊,此階段患者可能還會感覺到輕微的不適或疼痛。
- 出血和腫脹:拔牙後的頭幾天,可能會有輕微的出血和腫脹。這些情況通常可以通過輕輕咬住紗布或冰袋來控制和減輕。
- 休息和恢復:建議在拔牙後的頭幾天內休息,避免劇烈運動或活動,有助於促進口腔的自然癒合和恢復。
- 疼痛管理:
- 在手術後幾天內,可能會出現輕度到中度的疼痛或不適感。牙醫會建議適當的止痛藥和口腔清潔方法,以幫助減輕疼痛和不適。
- 一週左右,牙齦基本恢復,創口的上皮細胞已覆蓋拔牙窩,疼痛感應大幅減輕。
- 如果拔牙時有進行縫合,通常在一周後會進行拆線,之後牙齦組織繼續癒合。
- 飲食:
- 在拔牙後的幾天內,建議避免食用熱食或硬食,可以選擇液體或較軟的食物來減少口腔不適和刺激。
- 大約兩週後,創口底部開始有新骨組織的生長,這是長期穩定癒合的基礎。
- 這一階段,大部分患者已經可以進行正常的飲食和活動,不過仍需注意口腔衛生,避免創口感染。
- 口腔衛生:
- 拔牙後需要特別注意口腔衛生,輕柔地刷牙和漱口,以避免感染或其他口腔問題的發生。牙醫可能會建議使用鹽水漱口來幫助保持口腔清潔。
- 完全恢復(一至兩周):
- 大多數人通常在一至兩周內可以恢復到正常的飲食和生活方式。然而,完全的口腔癒合可能需要更長的時間,這取決於個人的健康狀況和拔牙後的治療進展。
- 一般認為,創口的完全癒合需要約1個月至3個月時間,此時新生的骨組織會填滿整個拔牙窩,形成穩定的骨結構。
- 在X光片上,創口的影像可能會持續存在至少6個月,這是因為新生成的骨組織需要時間來完全取代原來的組織。
- 長期改建:
- 即使創口看起來已經癒合,牙槽骨還會在接下來的幾個月中不斷改建,以適應咀嚼運動的力學需求。
- 隨著時間的推移,骨小梁會根據實際使用情況增強或吸收,最終達到穩定的結構狀態。
總結來說,智齒拔除後的恢復期通常涵蓋了出血和腫脹的初期管理、疼痛的控制、飲食的調整以及口腔衛生的特別注意。遵循牙醫的建議和指導,能夠幫助順利度過恢復期,減少不適和併發症的發生。

12. 拔智齒後會有什麼不良反應?
拔除智齒後可能出現以下一些不良反應,這些反應因人而異,具體情況會因每個人的口腔健康狀況、手術過程和個人反應而有所不同:
- 出血:
- 拔除智齒後,可能會出現輕度至中度的出血,這通常是正常現象。出血量應該在幾個小時內逐漸減少,如果出血持續或增加,應及時向牙醫尋求幫助。
- 腫脹:
- 拔牙部位周圍可能會出現輕度至中度的腫脹,這是由於手術過程中的組織損傷和炎症反應引起的。腫脹通常會在幾天內逐漸減輕,冰敷和適當的休息可以幫助緩解腫脹。
- 疼痛和不適:
- 拔除智齒後,可能會感到輕度到中度的疼痛或不適感,特別是在手術後的幾天內。這可能需要通過醫生建議的止痛藥來緩解。
- 感染:
- 拔牙後,如果口腔衛生不當或傷口處理不當,可能會增加感染的風險。徵兆包括持續的疼痛、發熱、腫脹或排出膿液。如果懷疑感染,應及時就醫處理。
- 牙齦炎:
- 拔牙後,周圍牙齦可能會因為手術引起的刺激而發炎,稱為牙齦炎。這通常表現為牙齦紅腫、疼痛或出血,應遵循牙醫的建議進行處理和管理。
- 傷口未癒合或緩慢癒合:
- 拔除智齒後的傷口可能需要一段時間才能完全癒合。如果傷口未癒合或癒合緩慢,可能需要更多的時間和特別的護理。
- 腫脹與張口受限:
- 腫脹通常在拔牙後的第二天或第三天達到高峰,然後逐漸減輕。腫脹可能會導致張口困難,這在第四天後通常會開始緩解。
- 幹槽症(Alveolar Osteitis):
- 幹槽症是一種較為嚴重的並發症,發生在血凝塊過早溶解或未能形成時。患者會感到劇烈的持續性疼痛,可能伴隨惡臭氣味。此情況需要牙醫進一步治療。
- 神經損傷:
- 少數情況下,拔智齒可能損傷鄰近神經,造成唇、舌或牙齦的暫時性或永久性麻木。這種損傷通常罕見,但對患者來說可能是一個重大問題。
- 鄰牙損傷:
- 在複雜的拔牙過程中,鄰近的牙齒或其根部可能會受到損傷。
- 顎骨骨折:
- 极少數情況下,拔除智齒時可能會發生顎骨骨折,這通常由牙齒位置、根部形態或手術技術引起。顎骨骨折需要額外的醫療干預。
- 惡臭味:
- 創口處可能會產生輕微的惡臭,這是由於血凝塊和食物殘渣所致。良好的口腔衛生可以幫助減少這種現象。
總結來說,拔除智齒後可能出現的不良反應主要包括出血、腫脹、疼痛、感染、牙齦炎和傷口癒合問題。通過遵循牙醫的建議、保持良好的口腔衛生和注意休息,可以幫助減少這些不良反應的發生和影響。

13. 拔智齒疼嗎?
拔智齒通常會伴隨一定程度的疼痛和不適感,但這會因人而異,取決於個人的疼痛耐受性、手術過程的複雜性以及後續的恢復情況。以下是一些可能的情況和建議:
- 手術過程中的局部麻醉:
- 在拔除智齒過程中,牙醫通常會使用局部麻醉來麻醉周圍組織和牙齦,以減輕手術過程中的疼痛感。
- 手術後的疼痛:
- 拔除智齒後,可能會在手術部位感到輕度到中度的疼痛或不適感。這通常在手術後的幾天內是最明顯的,因為組織受到了刺激和損傷。
- 如果智齒橫向生長或完全埋藏於牙齦下,拔除過程會更為複雜,可能需要切開牙齦、去除部分骨質,甚至將牙齒分割成幾部分以利取出。這種情況下,術後的疼痛和腫脹可能會更為顯著。
- 止痛藥的使用:
- 牙醫會建議適當的止痛藥來幫助減輕疼痛和不適感。遵循牙醫的指導,按時服用止痛藥可以有效地控制疼痛。
- 為了緩解術後疼痛,醫生通常會建議患者服用非類固醇抗炎藥(NSAIDs)或其他止痛藥物。冷敷也有助於減輕腫脹和不適。
- 冰敷和休息:
- 在手術後的最初幾天,應該避免劇烈運動或活動,並應用冰敷來減輕腫脹和緩解疼痛。
- 口腔清潔:
- 牙齒拔除後,保持口腔清潔特別重要。輕柔地刷牙和使用鹽水漱口可以幫助防止感染和進一步的不適。
- 個體差異:
- 不同人的疼痛感知能力不同,同樣的手術對某些人來說可能較為疼痛,而對其他人則相對容易忍受。因此,拔智齒是否會疼痛,以及疼痛的程度,會有很大的個體差異。
- 術後恢復:
- 隨著時間的推移,疼痛會逐漸減輕,通常在幾天內會有顯著改善。然而,對於那些經歷了更複雜手術的患者,如嚴重阻生的智齒,恢復期可能會更長,疼痛也可能持續數週。
總結來說,拔除智齒可能會引起疼痛和不適感,但通過遵循牙醫的建議和適當的疼痛管理,大多數人能夠有效地處理和減輕這些症狀。如果疼痛嚴重或持續時間過長,應及時向牙醫尋求幫助。
14. 拔智齒後應該怎樣護理?
拔智齒後的護理至關重要,正確的護理可以幫助減輕術後不適,促進傷口愈合,並降低感染風險。以下是拔智齒後應該如何護理的詳細指導:
- 咬紗布:
- 手術後,牙醫會讓你咬住紗布,以幫助止血。一般建議咬紗布約30至60分鐘。紗布的作用是幫助形成血凝塊,這是愈合過程的第一步。
- 避免吸吮:
- 在手術後的頭24小時內,避免吸吮或用吸管飲料,因為這可能會擾亂正在形成的血凝塊,導致出血。
- 冷敷:
- 拔牙後頭一天,可以間歇性地在臉頰上使用冰袋冷敷,每次約15至20分鐘,然後休息一段時間,以幫助減輕腫脹和疼痛。
- 限制活動:
- 手術後的頭一天,應避免激烈運動或重體力勞動,以免增加血壓,可能導致傷口再度出血。
- 飲食調整:
- 初期應選擇軟食和涼食,避免熱食、硬食和辛辣食物,以減少對創口的刺激。建議的食物包括粥、果泥、冰淇淋和湯。
- 口腔衛生:
- 在手術後的頭24小時內,避免刷牙和漱口,以免擾亂血凝塊。之後可以輕柔地刷牙,並使用鹽水漱口,以保持口腔清潔,促進愈合。
- 避免煙酒:
- 吸煙和飲酒會延緩愈合過程,並增加感染風險,因此在恢復期間應盡量避免。
- 服用藥物:
- 根據醫生的指示,服用止痛藥和抗生素(如果開立)。這些藥物有助於控制疼痛和預防感染。
- 定期檢查:
- 與牙醫預約術後跟蹤檢查,以確保傷口正常愈合,並處理任何潛在問題。
- 注意症狀:
- 監控自己的症狀,如發現過度腫脹、劇烈疼痛、發燒或口中有異常氣味,應立即聯繫牙醫。
- 休息充足:
- 確保獲得足夠的休息,讓身體有足夠的能量來應對手術創傷和促進愈合。
請記住,每個人的恢復過程不同,應嚴格遵循牙醫的具體指導。如果在術後有任何疑慮或不適,應及時與醫療團隊聯繫。

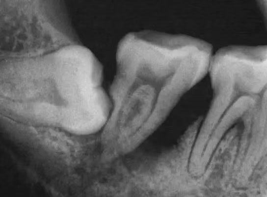
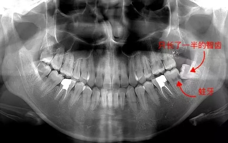
15. 阻生智齒是什麼?
阻生智齒是指智齒在生長過程中遭遇到障礙或阻礙,無法正常萌出到口腔中。這種情況可能是由於智齒本身的位置、方向或周圍組織的壓力所引起的。以下是一些可能導致阻生智齒的原因和特點:
- 位置問題:
- 智齒可能位於口腔最後方,空間狹窄或者生長方向不正確,如水平或傾斜生長,這會使智齒難以正確萌出到口腔中。
- 阻生智齒可根據其生長方向和位置的不同而分為多種類型:
- 垂直阻生:智齒的生長方向與其他牙齒相似,但由於空間不足,無法完全萌發。
- 水平阻生:智齒橫向生長,常見於下顎,這種情況下智齒可能朝向或遠離其他牙齒。
- 舌側阻生:智齒向舌頭方向傾斜。
- 頭頂阻生:智齒向上方生長,有時會影響到上顎的結構。
- 其他角度阻生:智齒可能以各種角度生長,不只限於上述幾種。
- 周圍組織壓力:
- 如果智齒周圍的組織(如牙齦、顎骨)過於密集或有其他牙齒的阻礙,智齒可能受到這些組織的壓力,阻礙其正常生長和萌出。
- 影響與併發症:
- 阻生智齒可能會引起牙齒排列不正常、周圍組織的疼痛或炎症,甚至造成鄰近牙齒的損害。此外,由於無法有效清潔,阻生智齒易於累積食物殘渣和細菌,增加口腔疾病的風險。
- 治療:
- 阻生智齒通常需要牙醫進行評估和治療。治療的方式可能包括手術性拔除智齒,以解除阻礙和改善口腔健康,或者根據具體情況選擇其他治療方法。
總結來說,阻生智齒是指智齒在生長過程中遭遇到障礙或阻礙,無法正常萌出到口腔中的情況。及早的口腔檢查和專業治療可以幫助預防或處理阻生智齒帶來的相應問題。

16. 阻生智齒的症狀有哪些?
阻生智齒,即第三大臼齒在萌發過程中因空間不足或方向錯誤而未能完全露出,可能會帶來一系列的症狀。以下詳述阻生智齒可能引發的症狀:
- 口腔疼痛:
- 由於智齒嘗試衝破牙齦而出現的壓力或摩擦,患者可能會感到持續或間歇性的疼痛,尤其是在智齒區域。
- 牙齦腫脹與紅腫:
- 阻生智齒會導致周圍的牙齦組織發炎,可能出現紅腫、觸碰時疼痛以及牙齦邊緣變軟的現象。
- 口腔衛生問題:
- 部分萌出的智齒與牙齦之間可能形成一個盲袋,食物殘渣和細菌易於積聚,難以清潔,進而導致齲齒或牙周病。
- 食物嵌塞:
- 智齒與牙齦之間的縫隙可能導致食物殘留,引起不適和進一步的口腔問題。
- 咀嚼困難:
- 若智齒位置不正或導致鄰近牙齒移位,可能影響正常咀嚼功能。
- 張口受限:
- 嚴重的阻生智齒情況下,患者可能會體驗到張口困難,影響進食和說話。
- 鄰牙受損:
- 智齒的壓力可能導致鄰近牙齒的牙根吸收,影響其穩定性,長期下來鄰牙可能變得鬆動。
- 顳下顎關節問題:
- 某些情況下,阻生智齒可能導致顳下顎關節疼痛或不適,影響咀嚼肌肉,產生夜間磨牙等症狀。
- 發燒與全身症狀:
- 如果阻生智齒引發感染,患者可能會出現發燒、寒戰等全身反應,需要及時就醫。
- 牙齦出血:
- 當阻生智齒導致牙齦組織發炎時,輕微觸碰或刷牙時牙齦可能容易出血。
- 口臭或口腔異味:
- 阻生智齒的盲袋容易藏污納垢,細菌滋生,進而產生口臭。
若出現上述症狀,應儘快尋求牙科專業人士的協助,進行詳細檢查。阻生智齒的情況各異,治療方式可能包括定期監測、口腔衛生教育或拔牙手術。在某些情況下,即使沒有明顯症狀,牙醫也可能建議預防性拔除阻生智齒,以防止未來可能發生的問題。

17. 如何診斷智齒是否需要拔除?
診斷智齒是否需要拔除涉及多個步驟與考量:
- 口腔檢查:
- 牙醫師會進行全面的口腔檢查,觀察智齒的外觀狀態,包括其位置、萌出程度以及周圍牙齦的健康狀況。
- X光攝影:
- X光片是評估智齒狀態的重要工具。通過X光片,牙醫師可以了解智齒的實際位置、方向、鄰近牙齒與顎骨的關係,以及是否存在潛在的問題如牙根吸收、囊腫或腫瘤等。
- 評估萌出空間:
- 如果智齒沒有足夠的空間正常萌出,可能成為阻生智齒,這時牙醫師會考慮拔除,以防止未來可能的口腔問題。
- 檢查鄰近牙齒:
- 需要評估智齒是否對鄰近牙齒造成影響,比如是否對第二磨牙產生壓力,導致牙根吸收或牙齒移位。
- 評估口腔衛生:
- 智齒位置不佳或部分埋藏在牙齦下時,清潔困難,容易積累食物殘渣和細菌,進而導致齲齒和牙周疾病。牙醫師會評估這些風險。
- 評估智齒功能:
- 如果智齒能夠正常萌出,並且不會對鄰近牙齒或口腔衛生造成威脅,同時可以與對合牙形成良好的咬合關係,那麼通常可以保留。
- 詢問病史:
- 包括患者是否有過智齒相關的疼痛、發炎、感染歷史,以及個人的整體健康狀況。
- 考量特殊情況:
- 如患者正在備孕或患有某些全身性疾病,這些情況可能需要提前拔除智齒,以減少潛在的口腔感染風險。
- 專業判斷:
- 最終的決定應該基於牙醫師的專業判斷,綜合考慮以上所有因素,以確定智齒是否需要拔除。
- 患者意見:
- 患者對治療的期望和擔憂也應被考慮在內,最終的治療計劃應與患者充分溝通後共同決定。
一旦決定拔除智齒,應在專業牙醫指導下進行手術,並遵循術後護理指導,以確保恢復過程順利。如果牙醫師認為可以觀察智齒的狀況,那麼定期回診檢查也是非常重要的,以監控任何可能的變化或問題。
18. 拔智齒的手術過程是怎樣的?
拔智齒的手術過程是一項需要精細技術與經驗的醫療程序。以下是拔智齒手術的詳細步驟:
- 術前評估:
- 在手術前,牙醫師會進行詳細的口腔檢查與影像學檢查(如X光或CBCT),以評估智齒的位置、方向、與鄰近組織的關係,並確認患者適合手術。
- 健康狀況評估:
- 患者需提供完整病史,包括過去的醫療狀況、藥物使用記錄,以及進行必要的血液檢查,以確保身體狀況適合手術。
- 麻醉準備:
- 手術開始前,會施以局部麻醉,確保患者在手術過程中不會感到疼痛。對於複雜案例或患者緊張時,可能考慮使用靜脈鎮靜或全身麻醉。
- 手術區消毒:
- 手術區將進行徹底消毒,以減少感染風險。
- 牙齦切開與翻瓣:
- 對於阻生或埋伏智齒,牙醫師會在牙齦上做小切口,將牙齦組織翻開,暴露出智齒及其周圍的骨質。
- 骨質去除:
- 若智齒被骨頭包圍,牙醫師可能會使用特殊工具小心地移除部分骨質,以便更好地接觸和移除智齒。
- 智齒拔除:
- 使用專門的拔牙鉗或其它手術工具,牙醫師會緩慢而穩固地搖動智齒,以鬆動其與周圍組織的連接。對於複雜的智齒,可能需要將其分割成幾個部分來逐塊拔除。
- 清潔手術創面:
- 智齒拔除後,牙醫師會清潔手術區域,確保無殘留組織或碎屑。
- 縫合傷口:
- 根據需要,牙醫師會使用可吸收縫線縫合牙齦切口,促進傷口癒合。
- 止血與包紮:
- 適當的壓力和止血材料將用於控制出血,並放置棉球或敷料幫助凝血。
- 術後指導:
- 手術結束後,患者會得到術後護理指示,包括飲食建議、如何處理腫脹、疼痛管理、以及何時復診。
- 術後追蹤:
- 患者需按指定時間返回診所進行復查,以確保傷口癒合良好,並解決任何術後出現的問題。
智齒手術過程根據每個人的具體情況會有所不同,特別是對於阻生或位置複雜的智齒,手術可能更為複雜且耗時。術後的恢復與照護非常重要,遵循牙醫師的建議能有效減少併發症,促進傷口癒合。
19. 拔智齒需要打麻醉嗎?
拔智齒確實需要打麻醉,這是為了確保手術過程中的無痛與患者舒適。以下是關於拔智齒麻醉的詳細說明:
- 麻醉的必要性:
- 智齒位於口腔最深處,其拔除往往伴隨著較大的手術創傷,包括可能的骨質去除和牙齦組織處理。由於疼痛難忍,因此必須使用麻醉來控制痛感。
- 局部麻醉:
- 大多數智齒拔除可在局部麻醉下進行。局部麻醉包括局部浸潤麻醉和神經阻滯麻醉兩種主要方式。
- 局部浸潤麻醉是將麻醉藥直接注射到牙齦組織中。
- 神經阻滯麻醉則是將麻醉藥注射到特定的神經附近,阻斷神經信號傳遞,從而達到麻醉效果。例如,拔除下頜智齒時常用的是下牙槽神經阻滯麻醉;拔除上頜智齒時則可能採用上頜結節神經阻滯麻醉或腭大神經阻滯麻醉。
- 麻醉藥物:
- 常用的局部麻醉藥包括利多卡因和碧蘭麻(Bupivacaine)等,這些藥物可以迅速起效並維持2至3小時的麻醉期。
- 全麻或靜脈鎮靜:
- 對於極度緊張的患者、兒童、或是需要拔除多顆智齒的情況,可能選擇在全麻或靜脈鎮靜下進行手術。這種情況下,患者將在整個手術過程中處於睡眠狀態,醒來時手術已結束。
- 麻醉後的反應:
- 打完麻藥後,通常在3至5分鐘內起效,患者在麻醉期間不會感到疼痛。然而,手術後隨著麻醉效果消退,可能會感到輕微到中度的不適或疼痛,這時可以服用醫生開立的消炎止痛藥來減緩不適。
- 麻醉安全:
- 麻醉應由經驗豐富的牙醫或麻醉師操作,以確保安全。麻醉前需評估患者的整體健康狀況,尤其是心血管系統和呼吸系統的條件,以避免可能的並發症。
總之,拔智齒幾乎總是需要麻醉,無論是局部還是全身,以確保手術過程的安全和無痛。患者應與牙醫師充分討論麻醉選項,並遵循術後護理指導,以促進快速康復。

20. 拔智齒後需要縫合嗎?
拔智齒後是否需要縫合取決於多個因素,包括智齒的生長狀態、手術的複雜性、創傷的大小以及牙齦組織的情況。以下是詳細的說明:
- 阻生智齒:
- 若智齒為阻生齒,即未能正常萌出,常常需要通過切開牙齦、有時還需去除部分骨質才能將其拔除。這種情況下,為了促進牙齦組織的良好癒合,防止食物殘渣積聚和感染,通常需要進行縫合。
- 創傷大小:
- 如果拔除智齒時創傷較大,例如需要去除大量骨質或牙齦組織受到廣泛影響,則縫合有助於閉合傷口,減少感染機會,並縮短癒合時間。
- 出血控制:
- 縫合可以幫助控制手術區域的出血,確保血凝塊能夠穩定形成,對傷口癒合至關重要。
- 預防感染:
- 縫合可以減少口腔內細菌進入創傷區域的機會,降低感染風險。
- 正常萌出的智齒:
- 如果智齒已經完全或大部分萌出,且拔除過程相對簡單,沒有造成過大創傷,那麼可能不需要縫合。在這種情況下,牙齦組織通常能夠自然收縮,覆蓋創面,形成保護性的血凝塊。
- 縫合材料:
- 縫合通常使用可吸收縫線,這種縫線在數週內會被身體自然吸收,無需再次就診拆除。然而,有些情況下也會使用非吸收縫線,這種縫線需要在術後數日到一週左右由牙醫師拆線。
- 術後護理:
- 無論是否進行縫合,術後護理都非常重要。患者需要遵循牙醫師的指導,包括冷敷減少腫脹、避免吸吮和使用吸管以防破壞血凝塊、保持口腔清潔以及按時服用抗生素和止痛藥。
總結而言,拔智齒後是否需要縫合主要基於手術的實際需求和患者個體情況。縫合的目的在於促進傷口癒合、控制出血、預防感染,並最終確保患者能夠順利康復。術後嚴格遵守牙醫師的護理建議是保障癒合過程順利的關鍵。
21. 拔智齒後的飲食禁忌有哪些?
拔智齒後的飲食需要特別注意,以避免對手術創口造成進一步的刺激或影響癒合。以下是拔智齒後飲食上的一些禁忌,使用繁體字進行詳細說明:
- 熱食和燙食:
- 初期應避免攝入溫度過高的食物或飲料,因為熱食可能會刺激手術創面,導致毛細血管擴張,增加出血風險,同時也可能延遲癒合過程。
- 辛辣食物:
- 辛辣調味品如辣椒、胡椒等應暫時避免,它們可能刺激傷口,引發疼痛並增加發炎的風險。
- 堅硬食物:
- 要遠離堅硬的食物,如堅果、餅乾、硬糖和脆餅等,這些食物在咀嚼時可能觸碰到創面,導致疼痛甚至造成傷口裂開,延長癒合時間。
- 粘性食物:
- 如口香糖、軟糖或黏稠的食品應避免,因為它們可能黏附在創口上,阻礙傷口癒合,並且增加感染的機會。
- 酒精和咖啡因:
- 含有咖啡因的飲料和酒精類飲品應限制攝入,它們具有刺激性,可能導致傷口疼痛和出血,影響恢復。
- 過甜食物:
- 在創口癒合期間,過甜的食物可能黏附在牙齒和創面上,提供細菌繁殖的環境,增加感染風險。
- 高纖維食物:
- 虽然高纖維食物有益健康,但在拔智齒初期,過多的纖維可能在咀嚼時刺激創面,應選擇易於吞嚥的軟食。
- 使用吸管飲食:
- 使用吸管飲食可能產生負壓,導致創口上的血凝塊鬆動,增加出血的風險,應避免。

推薦飲食:
- 在術後的頭幾天,應該選擇溫和、易於消化的食物,如:
- 流質或半流質食物:米湯、粥、果泥、果汁(但要避免使用吸管)、湯類(溫度適中)。
- 軟食:煮熟的蔬菜、軟烤地瓜、軟熟的水果、豆腐、魚肉泥等。
- 逐漸恢復到固體食物時,應從軟食開始,確保食物溫度適中,避免過熱或過冷。
術後飲食的選擇應以促進傷口癒合和減少不適為目標,遵循牙醫師的指導,確保營養均衡的同時,避免任何可能對創口造成不良影響的食物。
22. 拔智齒後需要吃抗生素嗎?
拔除智齒後是否需要使用抗生素:
- 手術的複雜性和風險:
- 如果智齒拔除手術比較簡單且沒有明顯的感染跡象,通常不需要使用抗生素。
- 感染風險:
- 如果手術過程中存在感染的風險,或者手術後出現感染的徵兆(如持續性的疼痛、腫脹、發燒等),牙醫可能會建議使用抗生素來預防或治療感染。
- 個人健康狀況:
- 患者的免疫系統狀況和個人健康狀況也會影響是否需要使用抗生素。對於免疫功能較差或有其他健康問題的患者,牙醫可能會更傾向於預防性地使用抗生素。
- 牙醫的專業判斷:
- 最終決定是否需要使用抗生素應由牙醫根據具體情況和手術後的觀察進行判斷。
總體來說,不是每位接受智齒拔除手術的患者都需要使用抗生素。如果您擔心或有任何症狀,應及時與牙醫聯繫,以便獲得專業建議和處理。及時遵從牙醫的建議,可以幫助預防感染並促進手術後的恢復。
23. 智齒手術後的常見併發症是什麼?
智齒手術後可能會出現一些常見的併發症,這些症狀的嚴重程度和出現的機率因人而異,主要包括以下幾點:
- 感染:
- 智齒手術後,口腔可能會受到細菌感染,導致局部紅腫、疼痛和膿液排出。感染可能需要使用抗生素治療。
- 出血:
- 手術後的傷口可能會出現輕微或較嚴重的出血。嚴重的出血可能需要進行進一步的處理,如壓迫或者重新縫合。
- 口腔乾燥:
- 手術過程中可能會影響到周圍的唾液腺或口腔內的神經,導致暫時性或持久性的口腔乾燥感。
- 神經損傷:
- 在智齒手術過程中,周圍的神經可能會受到影響或損傷,這可能會導致口腔感覺的暫時或長期改變。
- 咬合問題或牙齒移位:
- 智齒拔除後,周圍的牙齒可能會因為空間變化或者手術過程中的影響而移位,導致咬合問題或不適感。
- 骨折或裂開:
- 在較複雜的智齒拔除手術中,有時候周圍的顎骨可能會受到壓力或過度力量而發生骨折或裂開。
- 鄰牙損傷:
- 手術過程中,鄰近的牙齒可能受到損傷,特別是在拔除困難的智齒時。這種情況相對罕見,但使用適當的手術技術可以降低風險。
- 顎骨骨折:
- 在極少數情況下,尤其是老年人或骨質疏鬆的患者,過度的力或不當的操作可能導致顎骨骨折。
- 上頜竇穿孔:
- 上頜智齒與上頜竇關係密切,手術中不慎可能導致上頜竇穿孔,需要特別處理以防感染。
這些併發症雖然可能發生,但通常是少見的,且多數情況下能夠透過正確的手術技術和適當的後續護理有效預防或處理。如果患者出現任何異常症狀,應及時向牙醫尋求專業幫助和建議。

24. 智齒拔除後可以工作或上學嗎?
智齒拔除後能否工作或上學,通常取決於手術的具體情況和個人的反應:
- 手術後的恢復時間:
- 智齒拔除手術後,通常需要一至幾天的時間來恢復。在這段時間內,可能會有些許的疼痛、腫脹和不適感。恢復的速度因人而異,有些人可能需要更長的時間來處理這些不適。
- 局部麻醉的影響:
- 如果手術過程中使用了局部麻醉,這可能會影響你的感覺和反應能力,特別是在手術當天。這可能會對你的工作或學習能力造成暫時性的影響。
- 個人健康狀況:
- 如果手術過程順利且你的症狀輕微,你可能會很快恢復並且能夠繼續工作或上學。然而,如果手術比較複雜或你的症狀較重,可能需要更多的休息和康復時間。
總體來說,大多數人在智齒拔除手術後幾天內可以恢復正常的工作或學習活動。建議在手術當天和手術後的頭幾天內,避免過度用力或過度活動,並遵循牙醫提供的後續護理建議。如果有任何疑問或不適,應及時與牙醫聯繫。
25. 智齒拔除後多久可以正常刷牙?
智齒拔除後何時可以恢復正常刷牙取決於多種因素,包括手術的複雜性、個人的康復狀況以及拔牙後的護理。以下是一些通用的指導原則:
- 24小時內的護理:
- 在智齒拔除後的24小時內,應該避免刷牙和漱口,因為這段時間內血凝塊正在形成,它們對創口的愈合至關重要。血凝塊能保護創口免受細菌感染,並作為新組織生長的基礎。
- 24小時後的輕柔護理:
- 24小時後,可以開始輕柔地刷牙,但要避開拔牙區域,以免干擾血凝塊或引起出血。使用軟毛牙刷,溫和地清潔其他牙齒和口腔區域,保持口腔衛生。
- 2~3天後的恢復期:
- 根據個人的康復進程,通常在2到3天後可以更全面地刷牙,但仍應對拔牙區域保持輕柔,避免用力刷洗。如果感覺到任何不適或疼痛,應減輕力度或暫停刷該區域。
- 7天後的正常護理:
- 大約在拔牙後的一周,如果創口已經顯著癒合並且沒有明顯的疼痛或不適,可以開始恢復正常的口腔衛生習慣,包括輕柔地刷洗拔牙區域。
- 持續觀察:
- 即使開始恢復正常的刷牙習慣,也應繼續觀察創口的癒合情況。如果有任何不尋常的症狀,如持續的劇烈疼痛、高燒、大量出血或惡臭分泌物,應立即聯繫牙醫。

注意事項:
- 使用溫和的無酒精漱口水可能有助於減少創口的感染風險,但應避免在最初24小時內使用,以免干擾血凝塊的形成。
- 在恢復期間,避免使用吸管飲料,因為吸吮動作可能會移動或破壞血凝塊。
- 繼續服用醫生開立的任何藥物,如抗生素或止痛藥,以幫助預防感染和控制疼痛。
- 定期回診讓牙醫檢查創口的癒合情況,並遵循其關於術後護理的具體指導。
總之,智齒拔除後何時恢復正常刷牙需根據個人康復進度來判斷,一般建議在24小時後開始輕柔地刷牙,並在創口顯著癒合後(大約一周)恢復正常的口腔衛生習慣。在此過程中,始終要以不會引發不適或延遲癒合的方式來清潔口腔。
26. 智齒拔除後多久可以恢復運動?
智齒拔除後可以恢復運動的時間因個人的恢復速度和手術的複雜性而異。一般來說,以下是一些一般性的建議:
- 第一至三天的休息:
- 手術後的頭幾天,建議避免劇烈的運動和高強度的活動,以免刺激手術部位或引起出血和不適。
- 逐步恢復輕度活動:
- 從手術後的第四天開始,可以逐步恢復輕度的活動,如步行或輕度的伸展運動。避免彎腰或重複性的活動,以免影響傷口癒合。
- 避免高強度和高風險的運動:
- 在手術後的第一個星期內,應避免參加高強度的運動,如跑步、重量訓練、激烈的運動競賽或活動,以及任何可能對口腔和面部施加壓力的活動。
- 聆聽身體的信號:
- 在恢復過程中,重要的是聆聽自己身體的信號。如果感到疼痛、不適或傷口有任何反應,應立即停止運動並與牙醫聯繫。
- 個人化的恢復計劃:
- 恢復運動的時間可以因個人的身體狀況和手術的複雜性而有所不同。建議在恢復期間保持溫和和謹慎,避免過度負荷和過早的活動。
- 中等強度運動的恢復:
- 通常,拔牙後的2至3天內,如果創口癒合良好,可以開始嘗試中等強度的運動,如騎自行車或慢跑。然而,這仍需根據個人的康復進度和舒適度來調節。
- 高強度運動的恢復:
- 對於高強度的運動,如重量訓練、有氧健身或競技性運動,通常建議等待至少一週,甚至更長時間,直到創口顯著癒合,並且任何腫脹和疼痛都已消退。這是為了避免因運動造成的額外壓力而導致創口重新出血或感染。
- 注意事項:
- 每個人的康復速度不同,有些人可能需要更長的時間來恢復到正常運動水平。應密切關注身體反應,避免在感到不適時強行運動。
- 如果拔牙後出現嚴重的腫脹、高燒、持續的劇烈疼痛或出血不止,應立即停止運動,並聯繫牙醫或醫療專業人員。
- 遵循醫生的建議,並在恢復過程中定期進行檢查,確保創口正確癒合。
總體而言,牙醫會根據手術後的具體情況給予恢復運動的建議。遵從牙醫的指導並逐步增加活動量,可以幫助確保恢復的順利進行,同時避免對手術部位造成不必要的壓力或影響。

27. 拔智齒後如何止痛?
除智齒後可能會出現一定程度的疼痛和不適感:
- 按時服用止痛藥:
- 牙醫通常會建議使用適量的止痛藥來緩解疼痛。這些藥物可以包括非類固醇抗炎藥物(如布洛芬或阿司匹林)或乙酰氨基酚(如泰諾),根據牙醫的建議和處方按時服用。
- 冷敷:
- 在手術後的頭24小時內,可以輕輕地用冰袋或冷敷布覆蓋在面部患處,每次持續15到20分鐘。這可以有助於減輕腫脹和緩解疼痛感。
- 避免嚼食或直接刺激:
- 在手術後的最初幾天,避免嚼硬物或直接刺激手術部位,這可以減少疼痛感和傷口的刺激。
- 適當休息和保持頭部高位:
- 在手術後的頭幾天內,保持適當的休息和頭部高位休息可以有助於減輕疼痛和促進傷口的癒合。
- 避免吸煙和飲酒:
- 吸煙和飲酒可能會延緩傷口的癒合過程,增加疼痛和感染的風險。建議在恢復期間避免這些行為。
- 適當的口腔護理:
- 根據牙醫的指導進行適當的口腔護理,保持口腔清潔和衛生,有助於減少疼痛和感染的風險。
- 局部止痛方法:
- 有些人發現按壓虎口位置(位於拇指和食指之間的肌肉隆起處)可以幫助緩解面部和頜骨的疼痛,雖然這種方法的效果因人而異。
- 休息與放鬆:
- 拔智齒後應保證充足的休息,避免做任何劇烈運動或活動,因為這可能會增加血壓,導致創口出血。
- 飲食調整:
- 應選擇軟食和流質食物,避免熱食和硬的食物,因為這些可能會刺激創口或導致血凝塊脫落。冷的、軟的食物,如冰淇淋或冷湯,可以幫助舒緩疼痛。

注意事項:
- 如果疼痛持續嚴重或伴有發燒、腫脹加劇、大量出血或口腔中有異味分泌物,應立即聯繫牙醫或醫療專業人士。
拔智齒後的疼痛管理需要耐心和細致的護理,遵循上述建議,並根據個人情況和醫生的指導來調整。確保充分休息,合理飲食,並在必要時使用藥物來控制疼痛,這樣可以促進愈合,減少不適。
28. 智齒拔除後會影響面部形狀嗎?
智齒拔除對面部形狀的影響是一個常見的疑問,實際上,這種手術對臉型的改變通常是非常有限的。以下是關於智齒拔除與面部形狀關係的深入討論:
智齒與面部結構
- 面部輪廓的決定因素:
- 面部的輪廓主要由顱骨結構、上下頜骨的形狀、面部肌肉和脂肪分布決定。智齒位於口腔的最深處,即頜骨內,而非影響面部輪廓的表面結構。
- 智齒的位置:
- 智齒,作為第三大臼齒,它們位於上下頜骨的最後端,與決定臉型的主要骨頭——上頜骨和下頜骨的外觀和尺寸無直接關聯。
智齒拔除對面部的影響
- 理論上的影響:
- 當智齒導致鄰近牙齒移位或咬合問題時,拔除智齒可能間接地影響面部輪廓,因為咬合的變化可以導致面部肌肉的使用模式改變。
- 有觀點認為,當智齒長得不正常時,可能對牙槽骨產生壓力,影響該部位的形態,拔除後可能會有微小的恢復。
- 實際影響:
- 實際上,對於絕大多數人來說,拔除智齒後對面部輪廓的影響微乎其微,不會出現顯著的瘦臉或臉型變化的現象。
- 雖然在拔牙後的初期,由於手術創傷和腫脹,可能會觀察到面部外形的臨時變化,但這隨著腫脹的消退會迅速恢復到原本的狀態。
理論與實踐的差異
- 瘦臉錯覺:
- 拔除智齒後,短期內的飲食限制(如只能食用軟食或流質食物)、手術後的休息,以及可能的心理暗示,可能會讓人感覺臉部變瘦,但這更多是暫時性的現象,並非長期的結構性改變。
- 科學證據:
- 目前的醫學知識和研究並未提供足夠的證據支持拔智齒會帶來顯著的面部形狀變化。面部的輪廓和結構主要由更深層次的骨骼和軟組織決定,而非單純的智齒存在或不存在。
總結
智齒拔除主要針對的是口腔健康問題,如預防冠周炎、齒列擁擠或咬合問題,而不是作為改變面部形狀的手段。雖然個別情況下,智齒的處理可能間接地影響面部肌肉的使用,但對於大多數人來說,拔除智齒後的面部輪廓變化是極其有限的。因此,對於那些期望通過拔智齒來達到瘦臉目的的想法,科學上並無堅實的依據支持。
29. 不拔除智齒會有什麼後果?
不拔除智齒可能引發一系列口腔健康問題,甚至影響全身健康。以下是不拔智齒可能造成的後果:
- 口腔感染:
- 智齒位於口腔深處,難以徹底清潔,易於藏污納垢,積存食物殘渣和細菌,可能導致牙周炎、冠周炎等感染,表現為紅腫、疼痛、溢膿等症狀。
- 牙齒問題:
- 部分萌出或阻生的智齒會對鄰近的第二大臼齒造成壓力,導致鄰牙移位或損壞,甚至引起第二磨牙的牙髓炎或牙根吸收。
- 牙齒排列不整齊,智齒傾斜生長,推擠其他牙齒,可能造成齒列擁擠或錯位,影響美觀和咬合功能。
- 清潔困難:
- 智齒位置隱蔽,清潔困難,易於形成齲齒,特別是在牙齒接縫處的食物殘渣滯留,進一步發展成齲洞,最終可能導致牙髓炎,引發劇烈疼痛。
- 長智齒時,可能會感到口腔內的壓力或不適感,特別是在智齒開始破皮和突出牙齦時。
- 口腔黏膜問題:
- 偏側萌出的智齒可能摩擦頰粘膜,造成慢性刺激,形成潰瘍,偶爾還會發展成白斑或其他潛在的癌前病變。
- 如果智齒的位置不當或朝向不正確,可能會對周圍牙齒的排列和咬合造成影響,導致咬合困難或不適合。
- 全身健康風險:
- 口腔感染,如牙周炎,可能成為全身感染的源頭,引起發燒、全身不適等症狀,甚至影響心臟、腦部等遠端器官的健康。
- 重度感染擴散至面部軟組織或頜骨,形成膿腫或骨髓炎,需要進行復雜的手術治療,嚴重者可能威脅生命。
- 反覆發作的冠周炎:
- 阻生的智齒牙冠周圍軟組織與牙齒之間形成的盲袋易於積存細菌和食物殘渣,引發冠周炎,若不治療,會反覆發作,並可能引起全身性反應。
- 鄰近組織的損害:
- 智齒發炎不僅影響口腔,還可能蔓延至周邊組織,如頸部,引發多間隙感染,嚴重時可導致蜂窩組織炎、敗血症或感染性休克。
- 心理負擔:
- 反覆的疼痛、腫脹、張口困難和吞嚥困難不僅影響日常生活和飲食,也可能導致患者心理壓力,影響工作和學習效率。
- 面部不適:
- 部分人可能會因智齒的位置和發育而引起面部不適感,如面部疼痛或壓力感。
總體而言,智齒可能對口腔健康和全身健康構成多重威脅,尤其是當它們無法正常萌出或造成鄰近牙齒問題時。因此,對於有潛在問題的智齒,及早拔除通常是最為推薦的處理方式,以避免上述提到的各種後果。

30. 拔智齒的費用是多少?
拔智齒的費用因多種因素而異,包括智齒的生長位置、阻生程度、拔除的複雜性、所在地區的經濟水平、醫院或診所的等級,以及是否包含額外的醫療服務如麻醉、X光檢查、藥物費用等。以下根據過去的資料來探討拔智齒的費用範圍:
- 簡單拔除:
- 若智齒位置良好,拔除較為直接,費用通常在幾百元人民幣,例如300至500元。
- 輕度阻生:
- 輕度阻生的智齒,拔除過程可能會稍微複雜,費用可能在500至800元之間。
- 重度阻生:
- 阻生嚴重,需切開牙齦、移除骨組織的智齒,手術相對複雜,費用可能會超過1000元,甚至到達1500元。
- 地區經濟水平:
- 在一線城市或經濟發達地區,拔智齒的費用可能會比二三線城市或鄉鎮地區高,差異可達數百至上千元。
- 醫療機構等級:
- 省級醫院或專業口腔診所的收費標準通常高於地區級醫院,差價可能在數百元。
- 額外費用:
- X光片檢查、局部麻醉、術後藥物(如抗生素、止痛藥)以及復診費用等,都可能會增加總體費用。
根據近年的資料顯示,拔智齒的費用大約在300元至1500元人民幣之間,具體費用取決於上述各種因素。需要注意的是,隨著時間的推移,醫療服務的價格可能會有所調整,因此在預算時應考慮到最新的市場價格。
此外,部分地區的醫療保險可能會覆蓋拔智齒的部分費用,尤其在公認的醫療需求情況下,因此在拔除智齒前,建議諮詢醫生或醫療保險機構,以明確瞭解個人所需承擔的實際費用。在做出決定前,考慮多家醫療機構的報價和評估報告,有助於找到價格合理且技術可靠的醫療服務。
31. 智齒阻生有冇不同嘅類型?
智齒阻生確實有多種不同類型,這些類型主要根據智齒在下頜骨或上頜骨中的位置和方向來分類。以下是智齒阻生的主要類型:
- 垂直阻生:
- 在這種情況下,智齒的長軸與其他牙齒平行,但由於沒有足夠的空間,它被阻擋在牙齦下面或骨頭中。
- 近中阻生:
- 此類型的智齒傾斜向前方,朝向第二磨牙的方向生長,通常是因為前方的牙齒佔據了太多空間。
- 遠中阻生:
- 相反於近中阻生,遠中阻生的智齒傾斜向後方,朝向咽喉方向生長。
- 水平阻生:
- 水平阻生智齒的長軸與上下頜骨的長軸平行,牙齒橫躺在牙槽骨中,這種情況相對罕見。
- 倒置阻生:
- 牙齒的長軸完全反轉,即牙齒倒著生長,牙冠指向牙根的正常方向。
- 高位阻生:
- 高位阻生指的是智齒位於牙槽骨的較高位置,靠近頜骨的表面,這種位置可能讓智齒更難以萌出。
- 低位阻生:
- 相對地,低位阻生的智齒深埋在頜骨內,距離牙齦表面較遠,這可能使手術拔除更加困難。
- 頰側阻生或舌側阻生:
- 智齒可能偏向頰側(外側)或舌側(內側),這種傾斜方向會影響智齒與周圍組織的關係。
根據阻生智齒的位置和方向,拔除的難度和風險也會有所不同。垂直阻生相對較易處理,而近中阻生或遠中阻生可能需要更複雜的手術程序。阻生智齒的確切類型往往需要通過X光片或CBCT(錐形束計算機斷層攝影)等影像學檢查來確定,以便醫生能正確評估情況並規劃適當的治療方案。
智齒阻生可能引發一系列口腔健康問題,包括冠周炎、鄰牙損害、齲齒、牙周病和囊腫等,因此一旦發現有阻生智齒的跡象,應及時尋求牙科醫生的專業意見。

32. 智齒阻生引致嘅冠周炎系咩?
智齒阻生引致嘅冠周炎,係指智齒(即第三磨牙)在萌出過程當中因为空間不足或者方向不正,未能完全穿透牙齦而出現在口腔中的情況。當智齒部分萌出或者完全無法萌出時,牙冠周圍的軟組織會受到影響,特別是在牙齒與牙齦之間會形成一個「盲袋」,這個區域容易積聚食物殘渣和細菌,從而造成感染,這種感染就稱為冠周炎(Pericoronitis)。
冠周炎的成因主要包括以下幾個方面:
- 智齒萌出不全:智齒未能完全萌出,其頂端僅部分露出,導致牙齦瓣蓋住未完全萌出的牙齒,形成盲袋。
- 阻生智齒:智齒因为空间不足或角度問題無法正常萌出,被骨頭或鄰近牙齒所阻擋。
- 口腔衛生不良:智齒區域清潔困難,食物殘渣和細菌容易在盲袋中累積,引發感染。
冠周炎的主要癥狀包括:
- 牙齦紅腫:智齒周圍的牙齦會呈現紅色且腫脹。
- 疼痛:從輕微到劇烈不等的疼痛,尤其是在咀嚼或吞嚥時會感到更加明顯。
- 口臭:由於細菌滋生,口腔可能會產生異味。
- 張口受限:嚴重的冠周炎可能會導致顎關節或周圍肌肉腫脹,進而限制張口幅度。
- 膿性分泌物:在智齒與牙齦之間的盲袋中可能會有膿液滲出。
- 發燒:如果感染擴散,可能會出現發燒等全身性癥狀。
治療冠周炎通常包括以下步驟:
- 口腔清潔:加強口腔衛生,使用鹽水漱口或者專業的口腔清洗設備清潔智齒周圍區域。
- 藥物治療:使用抗生素控制感染,非甾體抗炎藥(NSAIDs)如布洛芬減輕疼痛和腫脹。
- 手術治療:對於反覆發作或者嚴重的冠周炎,醫生可能會建議拔除智齒以徹底解決問題。
預防冠周炎的關鍵在於維持良好的口腔衛生習慣,定期接受牙科檢查,及時處理阻生或潛在問題的智齒。如果智齒存在阻生的風險,牙醫可能會建議早期拔除,以避免冠周炎等相關併發症的發生。

33. 冠周炎嘅癥狀有啲乜?
冠周炎,又稱為智齒周圍炎,是指智齒(第三磨牙)在萌出過程中因阻生或萌出不全,導致牙冠周圍軟組織發炎的一種疾病。冠周炎的癥狀可以從輕微到嚴重不等:
- 牙齦腫脹與紅斑:
- 智齒周圍的牙齦會出現紅腫,觸摸時可能感到疼痛,並且牙齦邊緣可能呈現鮮紅色或紫紅色。
- 疼痛:
- 疼痛是最常見的癥狀之一,可能開始時為輕微的脹痛,隨著炎症加劇,可能轉變為劇烈的跳痛,尤其在咀嚼或吞嚥時會更加明顯。
- 張口受限:
- 由於炎症影響到顎關節或周圍的肌肉,患者可能體驗到不同程度的張口受限,即嘴巴張開幅度減少。
- 膿性分泌物:
- 在智齒與牙齦之間的盲袋中可能積聚膿性分泌物,這些分泌物可能是黃色或綠色,並帶有異味。
- 口臭:
- 由於炎症和膿性分泌物的存在,患者可能會出現口臭。
- 吞嚥困難:
- 當炎症擴散到咽喉部位時,可能引起吞嚥困難。
- 全身癥狀:
- 如畏寒、發熱、全身乏力等,這是身體對感染反應的一部分。
- 面部腫脹:
- 在嚴重的冠周炎病例中,炎症可能導致面部局部或大範圍的腫脹。
- 淋巴結腫大:
- 下頜下淋巴結可能因應對炎症而腫大,觸摸時有壓痛。
- 鄰近牙齒受影響:
- 鄰近的第二磨牙可能因為炎症或智齒的壓力而感到疼痛或出現敏感。
- 牙齒鬆動:
- 長期的冠周炎可能影響牙齒周圍的支持結構,導致智齒或鄰近牙齒鬆動。
- 牙齦溢膿:
- 在嚴重感染的情況下,牙齦可能會產生膿液,稱為牙齦溢膿,這可能會伴隨著顯著的疼痛和不適感。
診斷冠周炎通常需要詳細的病史詢問、口腔檢查以及必要的影像學檢查(如X光片)。治療則可能包括口腔清潔、使用抗生素、止痛藥,以及在必要時手術拔除智齒。保持良好的口腔衛生習慣,及時就醫治療,是預防冠周炎復發和並發症的關鍵。
34. 冠周炎應該點治療?
冠周炎的治療通常包括以下幾個方面,具體治療方法會根據患者的具體情況而定,建議尋求牙醫的專業建議和治療:
- 口腔衛生措施:
- 改善口腔衛生是治療冠周炎的首要步驟。這包括定期刷牙(至少兩次每天)、使用牙線或牙間刷清潔牙齦間的食物殘渣,以及定期口腔衛生檢查和清潔。
- 專業清潔:
- 牙齦和牙周韌帶的專業清潔(稱為牙周治療)可以去除牙石和牙菌斑,這些是引起冠周炎的主要原因。牙醫或牙周專科醫生會使用特殊的工具清潔牙齦和牙齒表面,並在必要時進行根面清潔以去除牙齦袋中的細菌。
- 在炎症區域塗抹磺甘油或碘酚等藥膏,有助於消炎同止痛。
- 使用含漱劑,如復方硼砂液或呋喃西林液等,每日數次漱口,以保持口腔清潔同殺菌。
- 抗生素治療:
- 在冠周炎嚴重或伴隨膿液排出的情況下,可能需要經口或局部應用抗生素來控制感染。這應由牙醫根據具體情況決定。
- 根據炎症嚴重程度同細菌類型,醫生可能會處方口服抗生素,例如青黴素類、四環黴素類或克拉黴素等,以控制細菌感染。
- 使用非甾體抗炎藥(NSAIDs)如布洛芬或對乙醯氨基酚(Paracetamol)等止痛藥,來減輕疼痛同腫脹
- 手術治療:
- 在某些情況下,特別是當冠周炎已經導致牙周組織的嚴重損害或牙周袋形成較深時,可能需要手術來進行進一步的治療。手術治療包括牙周手術和牙齦移植等。
- 如有膿腫形成,醫生會進行切開引流,將膿液排出,減輕壓力同促進康復。
- 對於能夠正常萌出嘅智齒,但反覆發作冠周炎嘅情況,醫生可能會建議做冠周龈瓣楔形切除術,以消除盲袋,防止再次感染。
- 對於反覆發作或嚴重嘅冠周炎,最根本嘅治療方式係拔除阻生嘅智齒,以絕後患。
- 生活方式和飲食建議:
- 改善飲食習慣和生活方式,如減少糖分攝取、戒菸和避免壓力,有助於促進牙周組織的健康和治癒。
- 保持良好嘅口腔衛生,定時刷牙,使用牙線同漱口水,有助於預防冠周炎嘅復發。
- 加強身體抵抗力,適當休息,均衡飲食,避免過度疲勞。
- 即使症狀得到緩解,亦應定期回診,監測炎症情況,並根據需要調整治療計劃。
治療冠周炎需要由專業嘅牙科醫生評估同執行,病人應根據醫生指導進行治療,切勿自行購買藥物或嘗試治療。如果炎症持續或加劇,應立即尋求醫療協助。
35. 智齒阻生對第二磨牙有冇影響?
智齒阻生確實對第二磨牙可能產生負面影響,呢個情況主要基於智齒萌出嘅方向同位置。當智齒(第三磨牙)萌出時因为空間唔足或方向錯誤,未能順利長出,就會成為阻生智齒:
1. 牙齒移位或傾斜
阻生嘅智齒會對第二磨牙施加壓力,導致第二磨牙嘅位置發生改變,甚至傾斜,影響咬合關係同整體牙列美觀。
2. 龋齒(蛀牙)
智齒同第二磨牙之間嘅狹窄空間容易積聚食物殘渣同細菌,形成盲袋,增加第二磨牙遠中(靠近智齒一側)面發生齲齒嘅風險。尤其當智齒只有一部分露出,更易藏污納垢。
3. 牙髓炎
第二磨牙若因智齒阻生而產生齲齒,可能會進一步發展成為牙髓炎,即牙齒內部嘅神經組織受感染,引致劇烈疼痛。
4. 牙根吸收
阻生智齒嘅牙冠或牙根可能會直接接觸到第二磨牙嘅牙根,造成第二磨牙嘅牙根吸收,長遠來講會影響第二磨牙嘅穩定性,甚至令其鬆動或喪失。
5. 骨質流失
智齒嘅壓力同炎症可能導致第二磨牙周圍嘅骨質流失,減弱第二磨牙嘅支撐結構,長期下去可導致牙齒鬆動。
6. 冠周炎
智齒阻生形成嘅盲袋容易藏污納垢,引起冠周炎,炎症不僅影響智齒本身,亦會牽連到第二磨牙,造成周圍軟組織紅腫、疼痛同感染。
7. 智齒拔除後嘅影響
即使拔除了阻生嘅智齒,第二磨牙仍可能受到影響,如牙根暴露,因為智齒拔除過程中可能會對第二磨牙嘅根部結構造成一定程度嘅干擾。
鑑於阻生智齒對第二磨牙可能帶來嘅種種風險,一般牙醫會建議及早評估同處理阻生嘅智齒,通過拍攝X光片來確定智齒嘅位置同狀態,並根據實際情況建議是否需要拔除,以預防對第二磨牙造成不可逆轉嘅損害。

36. 智齒阻生可唔可以唔理佢?
智齒阻生通常不應該被忽略或不理會,因為這可能會導致一系列的口腔健康問題和不適。以下是一些不理會智齒阻生可能帶來的風險和後果:
- 牙齒排列問題:智齒阻生可能導致周圍牙齒的移位或排列不正確,進而影響咬合和口腔功能。
- 牙齦疼痛和炎症:未突破或部分突破的智齒可能會導致牙齦的疼痛、腫脹和感染,這可能需要抗生素治療和口腔衛生措施來控制。
- 囊腫或囊腫形成:智齒阻生可能導致囊腫或囊腫的形成,這些囊腫可能對周圍組織和骨骼造成損害,需要手術干預來治療。
- 咀嚼問題:智齒阻生可能導致咀嚼困難或疼痛,影響食物的正常攝取和咀嚼。
- 牙齦和牙周疾病:智齒阻生增加了周圍牙齦和牙周組織受感染或發炎的風險,這可能需要長期的治療來管理。
總之,對於有智齒阻生現象的人來說,建議尋求牙醫的專業建議和治療。牙醫可以根據具體情況提供適當的治療選項,包括監控、拔除智齒或其他必要的治療措施,以維護口腔健康和舒適。
37. 智齒阻生嘅話,幾時適合去拔?
智齒阻生嘅情況下,決定拔除嘅時間點需根據多個因素考量。以下係幾個關鍵點,可以幫你判斷幾時適合進行拔除手術:
1. 症狀出現
一旦智齒阻生引起疼痛、腫脹、冠周炎(周圍軟組織感染)、反覆感染或其他不適,就應該及早考慮拔除。呢啲症狀顯示智齒已經對口腔健康構成威脅。
2. 對鄰近牙齒嘅影響
如果阻生嘅智齒開始對第二磨牙或周邊牙齒造成壓力,導致牙齒移位、傾斜,或增加齲齒風險,宜考慮即時拔除,以免損害鄰近健康牙齒。
3. 口腔衛生問題
智齒阻生時形成嘅盲袋往往難以清潔,易藏污納垢,引發齲齒或牙周病。如果呢個問題持續存在,應考慮拔除智齒以維護良好嘅口腔衛生。
4. 牙齒位置同角度
透過X光片評估,如果發現智齒嘅生長方向或位置預示將來會對口腔健康造成影響,即使現階段無症狀,醫生亦可能會建議預防性拔除。
5. 牙齒功能考量
由於智齒在咀嚼功能上並非必需,如果預期未來會引發問題,或已造成現行問題,拔除係合理嘅選擇。
6. 年齡因素
年輕時拔除智齒通常恢復較快,風險較低。隨著年齡增長,牙根同骨質黏連更加緊密,拔除難度及併發症風險增加。因此,如果預計需要拔除,較早處理更好。
7. 個人健康狀況
患有某些全身性疾病(如糖尿病、心血管疾病)嘅人士,應在病情穩定時進行手術,並由醫生評估手術風險。
8. 心理準備
拔除智齒前應確保患者做好心理同生理準備,理解手術過程同後續護理要求。
綜合上述因素,最好係諮詢專業牙科醫生,根據個人具體情況同身體狀況來決定最適合嘅拔牙時機。醫生會根據全面嘅評估,包括口腔檢查同影像學資料,來提出專業意見。

38. 拔智齒有冇風險?
拔智齒係一個標準嘅外科手術程序,同所有醫療程序一樣,佢都帶有潛在風險。呢啲風險既包括手術期間嘅即時風險,亦涵蓋咗術後嘅併發症:
1. 手術期間風險
- 麻醉反應:使用局部麻醉劑可能會引起過敏反應或不適。
- 損傷鄰近組織:拔牙時可能意外傷害到牙齦、鄰近牙齒或骨質。
2. 術後併發症
- 出血:拔牙後,牙槽窩可能會有輕微出血,但若控制唔當,可能引致嚴重出血。
- 感染:創傷區域容易受細菌感染,特別係口腔環境。
- 乾槽癥:術後一至兩星期內,如果血凝塊脫落或溶解,會引發劇烈疼痛。
- 神經損傷:下頜智齒靠近下牙槽神經,拔除時有機會損傷神經,導致下唇或舌頭感覺異常。
- 顎骨骨折:雖然罕見,但用力過猛或技術問題可能會導致顎骨骨折。
- 牙根殘留:若果牙齒太堅固或牙根碎裂,有機會有殘留牙根未被完全取出。
3. 長期併發症
- 鄰近牙齒問題:拔除智齒後,鄰近牙齒可能會移位或傾斜。
- 骨質問題:極少數情況下,拔牙後會出現骨質吸收或骨髓炎。
4. 特殊情況
對於女性來說,拔牙應避免在月經期間,因為此時期拔牙會增加出血風險。
應對策略
- 術前評估:詳細檢查同拍攝X光片,評估智齒位置同鄰近結構。
- 術後護理:遵循醫生指示,包括冷敷減少腫脹、飲食調整、口腔清潔同定期復診。
- 緊急應對:若術後出現嚴重併發症,如大量出血、高燒、嚴重腫脹或持續劇烈疼痛,應立即求醫。
總結
拔智齒雖然有風險,但係通過專業醫生評估同適當術後護理,可以有效控制佢哋。患者應同醫生充分溝通,了解整個過程,包括可能嘅併發症同預防措施。

39. 智齒長出嚟嘅位置正常有冇乜嘢標準?
智齒的正常位置通常是指它在口腔內的發育和生長方向,這受到個人解剖結構和牙齒排列的影響。以下是智齒正常位置的一些一般標準:
- 正確的方向:智齒應當向外或向後生長,通常與其他牙齒平行或接近平行。這樣有助於正確的咬合和口腔功能。
- 足夠的空間:智齒應有足夠的空間在牙齦下方完全發育和生長。如果空間不足或智齒生長方向有異常,可能會導致阻生、咬合問題或其他牙齒健康問題。
- 與其他牙齒的關係:智齒應該與周圍的牙齒和牙床結構保持和諧的關係,不應對周圍牙齒造成過度壓力或影響其正常排列和功能。
- 不引起疼痛或不適:正常位置的智齒不應引起頻繁的疼痛、牙齦炎症或其他口腔不適,這些可能是智齒阻生或其他問題的表現。
- 阻生智齒類型:
- 垂直阻生:智齒嘅生長方向基本正確,但由於空間不足未能完全萌出。
- 水平阻生:智齒橫向生長,平行於牙齦線。
- 倒置阻生:智齒朝向上方或下方生長。
- 近中阻生:智齒向前方(靠近口腔前面)傾斜。
- 影響因素:
- 遺傳:家族中有智齒問題嘅人,其後代出現智齒問題嘅機會較大。
- 營養同飲食習慣:飲食中缺乏纖維素會影響下頜發育,從而影響智齒位置。
若然您懷疑智齒位置不正常或有疼痛或其他不適感,建議尋求牙醫的專業意見。牙醫可以通過口腔檢查、X光檢查等來評估智齒的位置和健康狀況,並提供適當的治療建議。及早處理智齒問題有助於預防可能的後續牙齒健康問題。

40. 智齒阻生同遺傳有冇關係?
智齒阻生同遺傳確實有一定關係。雖然早年間有人認為智齒本身嘅存在或者否並唔係直接遺傳嘅結果,但近年來嘅研究顯示,智齒嘅生長狀態,包括阻生情況,確實會受到遺傳因素嘅影響。以下是深入嘅解釋:
1. 遺傳學基礎
智齒嘅萌出、大小、形狀以及牙根嘅數量等特徵,都係由遺傳物質控制嘅。呢啲特徵可以從親代傳遞到子代,令子女嘅智齒表現出同父母相類似嘅特性。
2. 下頜及上頜骨頭結構
智齒阻生往往係因為下頜或上頜骨頭空間不足所致。呢個空間問題亦可以係遺傳嘅。例如,如果一個人嘅父母下頜骨頭較短或較狹窄,咁佢哋嘅子女有較高機會繼承相同嘅結構,從而增加智齒阻生嘅風險。
3. 寧夏回族人群研究
根據寧夏回族人群阻生智齒遺傳學關係嘅探討,研究發現阻生智齒喺呢個群體中具有明顯嘅遺傳規律,表明父母嘅遺傳對子女智齒阻生有直接影響。
4. 其他研究
多項研究指出,智齒阻生嘅機率同家族史相關。如果家族中有多人有智齒阻生問題,咁其他家庭成員出現同樣情況嘅可能性亦會相對較高。
5. 遺傳同環境因素
雖然遺傳係重要因素,但環境同生活習慣亦會影響智齒嘅發展。例如,飲食習慣、口腔衛生同整體健康狀況都會影響智齒嘅萌出過程。
總結
智齒阻生同遺傳有緊密關係,尤其係考慮到下頜骨頭嘅大小同形狀。然而,遺傳並非唯一因素,環境同個人生活習慣亦會影響智齒嘅最終狀態。如果你有智齒問題嘅家族史,你可能需要更加關注自己嘅智齒健康,並定期進行口腔檢查。
41. 智齒阻生同生活習慣有冇關係?
智齒阻生與個人的生活習慣有一定的關聯性,特別是以下幾個方面:
- 口腔保健習慣:不良的口腔衛生習慣,如不定期刷牙、不正確的刷牙技巧、不使用牙線或漱口水等,可能導致牙齒周圍牙菌斑的積聚和牙結石的形成,這些都可能影響智齒正常的生長和發育。
- 飲食習慣:飲食中高糖分、高酸度食物的攝取,以及不良的飲食習慣可能增加牙齒腐爛和牙周疾病的風險,進而影響智齒的健康狀態和生長情況。
- 牙齒矯正:曾經進行過牙齒矯正或擁擠的牙齒結構可能會影響智齒的正常生長位置,導致智齒阻生或排列不正常。
- 吸煙和飲酒:長期吸煙和飲酒可能影響口腔健康,增加牙齒和牙周疾病的風險,進而影響智齒的生長和發育情況。
總結來說,良好的口腔衛生習慣和健康的生活方式可以減少智齒阻生的風險。定期的口腔檢查、適當的牙齒清潔、均衡的飲食和戒煙等行為有助於維護口腔健康,減少牙齒問題的發生,包括智齒的相關問題。
42. 智齒阻生同飲食習慣有冇關係?
智齒阻生主要由於下頜或上頜骨頭空間不足所導致,但飲食習慣確實可以間接地影響智齒的健康狀態及萌出過程。飲食習慣對智齒的影響主要表現在兩個層面:
1. 下頜骨頭發育
飲食習慣影響下頜骨頭發育的程度,特別是在兒童和青少年階段。早期的人類飲食中包含更多粗糙、堅硬的食物,這些食物需要更多的咀嚼,這有助於下頜骨頭的發育和強壯。隨著飲食趨向軟化和精細化,現代人的下頜骨頭發育可能不如過去那麼充分,這可能會減少智齒萌出所需的空間,進而增加智齒阻生的風險。
2. 口腔衛生與食物殘留
飲食中的食物類型可以影響口腔內的衛生狀況。軟食或粘性食物更容易殘留在牙縫和智齒周圍,特別是當智齒部分萌出時,這種情況會更嚴重。食物殘留會吸引細菌,導致牙菌斑和牙石的形成,進而可能引發牙齦炎或智齒冠周炎,這些問題會進一步複雜化智齒的萌出過程。
舉例說明
- 過多攝取甜食和碳酸飲料:這些食物會增加齲齒和牙齦疾病的風險,間接影響智齒的健康。
- 咀嚼硬物:經常咀嚼堅硬的食物或使用牙齒作為工具,可能會對現有牙齒和下頜結構造成壓力,影響智齒的正常萌出。
改善建議
為了減少智齒阻生的風險和後果,可以調整飲食習慣:
- 增加纖維質攝取:多吃蔬菜、全穀物和堅果,這些食物需要更多咀嚼,有助於下頜骨頭的健康發育。
- 減少糖分攝取:減少甜食和含糖飲料的攝入,降低齲齒和牙齦疾病發生的機會。
- 維持口腔清潔:定期刷牙、使用牙線和漱口水,保持口腔衛生,減少食物殘留和細菌的積累。
總結
雖然飲食習慣並不是智齒阻生的直接原因,但它們確實可以通過影響下頜骨頭發育和口腔衛生狀況,間接地影響智齒的健康和萌出。因此,保持良好的飲食習慣和口腔衛生對維護智齒健康是重要的。
43. 智齒阻生同口腔疾病有冇關係?
智齒阻生與口腔疾病有密切的關係,主要包括以下幾個方面:
- 牙齦炎和牙周疾病:牙齦炎和牙周疾病是智齒阻生的主要原因之一。當口腔中存在牙菌斑和牙石時,這些細菌會引發牙齦發炎,進而影響智齒正常的生長位置和發育。
- 牙齒擁擠:如果口腔中的牙齒排列不正常,如過度擁擠或牙齒排列不正確,這可能會導致智齒無法正常發育,出現阻生現象。
- 牙齒矯正歷史:曾經進行過牙齒矯正治療的人,特別是尚未移除智齒的情況下,牙齒的位置可能不利於智齒的正常生長,因而增加智齒阻生的風險。
- 口腔解剖結構:個人口腔解剖結構的特點和牙槽骨的形態,如牙槽骨的大小和形狀,也會影響智齒的發育和是否會阻生。
總結來說,口腔健康狀況直接影響智齒的正常發育。良好的口腔衛生習慣、定期的口腔檢查和適當的牙齒矯正治療可以有助於減少牙齒疾病的風險,進而降低智齒阻生的可能性。及早處理口腔問題,有助於維護口腔健康和正確牙齒發育。

44. 智齒阻生同牙齒矯正有冇衝突?
智齒阻生同牙齒矯正之間存在潛在衝突,尤其當智齒開始萌出或未適當萌出時,可能對正在進行或已完成的矯正治療產生負面影響。以下係幾個關鍵點:
1. 空間問題
智齒嘅萌出會佔用額外空間,如果下頜或上頜空間有限,智齒嘅萌出會對已排列好嘅牙齒產生壓力,導致牙齒再度擁擠或移位,抵消矯正治療嘅效果。
2. 阻生智齒
阻生智齒,即未能完全穿透牙齦而進入咬合平面嘅智齒,會對鄰近牙齒產生不均勻嘅壓力,影響牙齒嘅位置,特別係對第二磨牙嘅穩定性構成威脅,最終可能影響矯正結果。
3. 矯正器干擾
智齒嘅萌出過程可能會干擾矯正器,例如牙套或托槽,導致矯正器鬆動或損壞,延長治療時間或增加治療費用。
4. 感染風險
阻生智齒容易引起冠周炎,即智齒周圍嘅牙齦發炎,呢種情況會增加感染風險,影響口腔衛生,對牙齒矯正過程中嘅牙齦健康不利。
5. 牙齒移位
即使完成矯正治療,智齒嘅萌出仍然可能導致牙齒再度移位,尤其是下頜智齒,因為它們嘅萌出方向往往朝向前方,對前牙施加壓力。
6. 維持效果
為了長期維持矯正效果,有時需要拔除智齒,防止其對已矯正嘅牙齒排列造成干擾。
總結
智齒阻生同牙齒矯正之間存在顯著衝突,阻生或萌出嘅智齒可能影響矯正治療嘅進行同結果。為咗確保矯正治療嘅成功,牙醫同正畸專科醫生會評估智齒嘅狀態,必要時會建議拔除智齒,以預防併發症並保護矯正效果。進行牙齒矯正前,詳細檢查同諮詢牙醫關於智齒嘅狀況非常重要,以確保制定出最適合個人情況嘅治療計劃。

45. 智齒阻生嘅人可唔可以戴牙套?
智齒阻生嘅人士戴牙套嘅可行性需視乎多個因素,包括阻生智齒嘅位置、方向、對鄰近牙齒嘅影響以及口腔整體健康狀況。以下係幾個需要考慮嘅重點:
1. 阻生智齒位置
如果阻生智齒位於口腔深處並且對鄰近牙齒或咬合關係無影響,咁戴牙套嘅可能性較大。但如果阻生智齒對第二磨牙施加壓力或影響到牙齒排列,可能需要先處理阻生智齒問題再考慮戴牙套。
2. 正畸治療目標
正畸醫生會評估治療目標同阻生智齒之間嘅關係。如果阻生智齒妨礙治療目標嘅實現,例如收縮牙弓或改善咬合,咁可能需要先拔除智齒。
3. 感染風險
阻生智齒容易引起冠周炎,即智齒周圍嘅牙齦發炎。如果炎症頻繁或嚴重,可能會影響牙套嘅清潔同維護,增加感染風險,因此需要先解決炎症問題。
4. 矯正器選擇
某些情況下,阻生智齒可能影響傳統金屬牙套嘅使用。隱形牙套或陶瓷牙套等低調嘅矯正選項可能更適合,因為它們對阻生智齒嘅干擾較小。
5. 專業評估
最重要嘅係由經驗豐富嘅正畸專科醫生進行全面評估。醫生會通過X光片、CT掃描或其他影像學檢查來評估阻生智齒嘅具體情況,然後根據個人狀況提供最適合嘅治療建議。
6. 治療順序
有時候,為了確保矯正治療嘅成功同長期穩定性,醫生可能會建議先拔除阻生智齒,待創口康復後再開始戴牙套。

總結
智齒阻生嘅人是否可以戴牙套,需要根據每個人嘅具體情況來判斷。如果阻生智齒對鄰近牙齒或矯正治療有負面影響,正畸醫生可能會建議拔除智齒作為預防措施。拔除智齒後,待恢復期過後,才開始正畸治療,以確保治療效果同預防未來嘅牙齒移位。在考慮戴牙套之前,同專業嘅正畸醫生討論所有相關因素,並獲得個別化嘅治療計劃,係非常關鍵嘅。